مقدمه
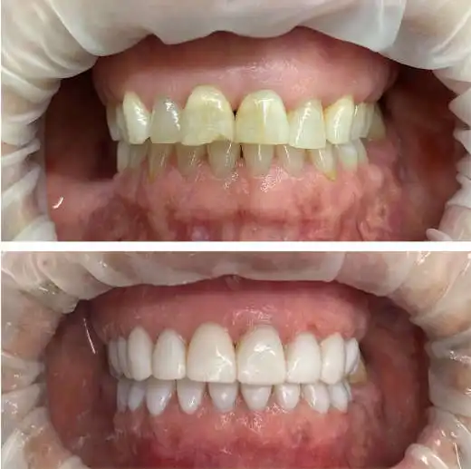
کامپوزیت دندان یکی از پرطرفدارترین روشهای زیبایی دندانپزشکی است که به دلیل سرعت انجام، ظاهر طبیعی و هزینه مناسب، انتخاب بسیاری از افراد برای اصلاح لبخند محسوب میشود. در ادامه بهصورت کامل با کامپوزیت دندان، کاربردها، مزایا، معایب و مراقبتهای بعد از آن آشنا میشوید.

کامپوزیت دندان چیست؟
کامپوزیت دندان مادهای رزینی و همرنگ دندان است که برای زیباسازی و ترمیم دندانها استفاده میشود. این ماده پس از قرار گرفتن روی دندان، با نور مخصوص سفت میشود و ظاهری طبیعی ایجاد میکند. کامپوزیت معمولاً برای اصلاح لبخند، ترمیم شکستگیهای کوچک و برطرف کردن ناهماهنگیهای ظریف به کار میرود.
کاربردهای کامپوزیت دندان
کامپوزیت در موارد زیر استفاده میشود:
- اصلاح رنگ دندانها
- بستن فاصله بین دندانها
- ترمیم لبپریدگی و شکستگیهای جزئی
- اصلاح شکل و اندازه دندانها
- ترمیم پوسیدگیهای کوچک (پرکردگی زیبایی)
مراحل انجام کامپوزیت دندان
- معاینه و انتخاب رنگ
دندانپزشک رنگ مناسب را مطابق با دندانهای شما انتخاب میکند. - آمادهسازی سطح دندان
دندان کمی تمیز و زبر میشود تا چسبندگی بهتر شود. - قرار دادن لایههای کامپوزیت
ماده کامپوزیتی بهصورت لایهلایه روی دندان قرار میگیرد. - سفت کردن با نور آبی
لایهها با نور مخصوص سفت میشوند. - پولیش و پرداخت نهایی
دندانها صیقل داده میشوند تا کاملاً طبیعی به نظر برسند.

مزایای کامپوزیت دندان
- ظاهر طبیعی و هماهنگ با دندانهای کنار
- هزینه کمتر نسبت به لمینیت
- انجام سریع (معمولاً در یک جلسه)
- نیاز به تراش بسیار کم یا بدون تراش
- قابلیت ترمیم در صورت آسیبدیدگی
معایب و محدودیتهای کامپوزیت
- استحکام کمتر از لمینیت سرامیکی
- احتمال تغییر رنگ در صورت مصرف زیاد چای، قهوه یا دخانیات
- نیاز به مراقبت و پولیش دورهای
- مناسبتر برای اصلاحات خفیف تا متوسط، نه تغییرات بسیار گسترده
📊 جدول مقایسه کامپوزیت دندان با لمینیت سرامیکی
| ویژگی | کامپوزیت دندان | لمینیت سرامیکی |
|---|---|---|
| میزان تراش | کم یا بدون تراش | بیشتر |
| هزینه | اقتصادیتر | گرانتر |
| ماندگاری | 5–7 سال | 10–15 سال |
| زمان انجام | یک جلسه | چند جلسه |
| قابلیت ترمیم | دارد | معمولاً ندارد |
📈 نمودار مقایسه ماندگاری روشهای زیبایی
Bar Chart (English):
- Composite Bonding: 5–7 Years
- Ceramic Veneer: 10–15 Years
- Teeth Whitening: 1–2 Years

مراقبتهای بعد از کامپوزیت
- دو بار در روز مسواک بزنید
- نخدندان را فراموش نکنید
- در ۲۴–۴۸ ساعت اول از خوردن خوراکیهای رنگی پرهیز کنید
- از گاز زدن خوراکیهای سخت خودداری کنید
- هر ۶ ماه برای معاینه و پولیش مراجعه کنید
❓ سوالات متداول درباره کامپوزیت دندان
آیا کامپوزیت دندان درد دارد؟
خیر، معمولاً بدون درد و حتی بدون بیحسی انجام میشود.
عمر کامپوزیت دندان چقدر است؟
بهطور متوسط بین 5 تا 7 سال، در صورت مراقبت صحیح بیشتر هم میشود.
آیا کامپوزیت دندان زرد میشود؟
در صورت مصرف زیاد مواد رنگی و عدم پولیش دورهای، احتمال تغییر رنگ وجود دارد.
جمعبندی
(متن شما – بدون تغییر)
کامپوزیت دندان روشی سریع، کمتهاجمی و اقتصادی برای زیباتر کردن لبخند است. اگر نیاز به اصلاحات جزئی دارید، کامپوزیت میتواند انتخاب بسیار مناسبی باشد. اما در موارد تغییرات گسترده یا نیاز به دوام بیشتر، معمولاً روشهای دیگر مانند لمینیت سرامیکی پیشنهاد میشود.
🔗 لینکسازی پیشنهادی
لینک داخلی
- کامپوزیت دندان در سعادتآباد؛ لبخندی زیبا در مطب نیک
- کامپوزیت دندان در سعادتآباد؛ بهترین انتخاب برای لبخندی زیبا و طبیعی در مطب نیک
لینک خارجی
- 1️⃣ American Dental Association (ADA)
- موضوع: Dental Bonding (کامپوزیت دندان)
- 🔗 https://www.ada.org/resources/ada-library/oral-health-topics/dental-bonding
- 2️⃣ Cleveland Clinic
- موضوع: Dental Bonding: Procedure, Benefits & Care
- 🔗 https://my.clevelandclinic.org/health/treatments/10927-dental-bonding
مقاله به زبان انگلیسی : medium
