جرمگیری دندان یکی از مهمترین اقدامات پیشگیرانه در حفظ سلامت دهان و لثه است. بسیاری از بیماران میپرسند: جرمگیری دندان هر چند وقت یکبار لازم است؟ آیا جرمگیری به مینای دندان آسیب میزند؟ فاصله مناسب بین جلسات چقدر است؟
طبق توصیههای علمی از جمله American Dental Association و World Health Organization، جرمگیری منظم نقش کلیدی در پیشگیری از بیماریهای لثه و حفظ طول عمر دندانها دارد.
جرمگیری دندان هر چند وقت یکبار لازم است؟
به طور معمول:
🔹 هر ۶ ماه یکبار برای اکثر افراد توصیه میشود.
🔹 افراد مستعد بیماری لثه → هر ۳ تا ۴ ماه
🔹 افرادی با بهداشت عالی → سالی یکبار (با نظر دندانپزشک)
در کلینیک دندانپزشکی نیک در سعادتآباد، فاصله جرمگیری بر اساس شرایط لثه، میزان پلاک و سابقه پزشکی هر فرد به صورت اختصاصی تعیین میشود.
جدول فاصله پیشنهادی جرمگیری
| وضعیت دهان و لثه | فاصله پیشنهادی |
|---|---|
| سلامت کامل لثه | ۶ تا ۱۲ ماه |
| التهاب خفیف لثه | هر ۶ ماه |
| پریودنتیت متوسط | هر ۳ تا ۴ ماه |
| سابقه تحلیل استخوان | طبق نظر متخصص |
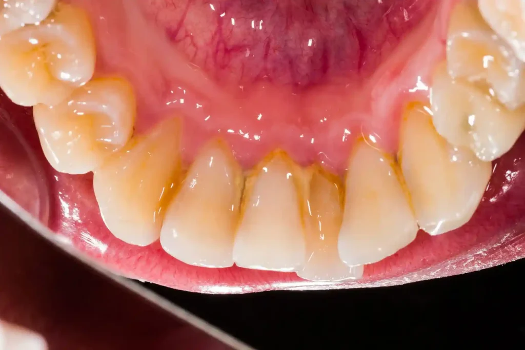
جرم دندان چیست و چگونه تشکیل میشود؟
جرم دندان (Calculus) در واقع پلاک میکروبی سختشده است که در اثر تجمع باکتریها و مواد معدنی بزاق روی دندان تشکیل میشود.
مراحل تشکیل جرم
پلاک نرم → عدم مسواک مناسب → تجمع باکتری → رسوب مواد معدنی → تشکیل جرم سخت
جرم به مسواک عادی پاسخ نمیدهد و فقط با ابزار تخصصی دندانپزشکی برداشته میشود.
جرمگیری دندان چه فوایدی دارد؟
✨ ۱. جلوگیری از التهاب و خونریزی لثه
جرم محیط مناسبی برای رشد باکتریهاست که باعث التهاب لثه میشود.
✨ ۲. پیشگیری از تحلیل استخوان و لق شدن دندان
طبق منابع علمی منتشرشده در Centers for Disease Control and Prevention، بیماریهای لثه یکی از علل اصلی از دست دادن دندان در بزرگسالان هستند.
✨ ۳. کاهش بوی بد دهان
باکتریهای زیر لثه عامل اصلی هالیتوزیس هستند.
✨ ۴. زیباتر شدن لبخند
حذف لکههای سطحی و جرم باعث روشنتر دیده شدن دندانها میشود.
✨ ۵. افزایش طول عمر دندانها
پیشگیری همیشه کمهزینهتر از درمان است.

جدول مقایسه قبل و بعد از جرمگیری
| ویژگی | قبل از جرمگیری | بعد از جرمگیری |
|---|---|---|
| رنگ لثه | قرمز و ملتهب | صورتی سالم |
| بوی دهان | نامطبوع | تازه |
| احتمال خونریزی | بالا | کاهش یافته |
| خطر تحلیل استخوان | افزایش یافته | کنترل شده |
نمودار اهمیت جرمگیری در پیشگیری از بیماری لثه
پیشگیری از التهاب لثه: ██████████████████ 90%
کاهش بوی بد دهان: ███████████████ 75%
پیشگیری از تحلیل استخوان: █████████████████ 85%
بهبود زیبایی لبخند: ████████████ 60%
آیا جرمگیری به دندان آسیب میزند؟
❌ خیر.
این باور اشتباه است. جرمگیری فقط رسوبات سختشده را حذف میکند و اگر توسط دندانپزشک و با دستگاه استاندارد انجام شود، آسیبی به مینای دندان وارد نمیکند.
گاهی پس از جرمگیری، بیمار احساس حساسیت موقت دارد که به دلیل نمایان شدن سطح واقعی دندان پس از حذف جرم است.
چه علائمی نشان میدهد به جرمگیری نیاز دارید؟
- خونریزی هنگام مسواک
- بوی بد دهان
- تغییر رنگ زرد یا قهوهای کنار لثه
- احساس زبری روی دندانها
- عقبرفتگی لثه

چه کسانی بیشتر به جرمگیری منظم نیاز دارند؟
| گروه پرخطر | دلیل |
|---|---|
| افراد سیگاری | افزایش تجمع جرم |
| بیماران دیابتی | حساسیت بیشتر لثه |
| افراد با ارتودنسی | گیر غذایی بیشتر |
| زنان باردار | تغییرات هورمونی لثه |
مراحل انجام جرمگیری حرفهای
۱. معاینه کامل لثه
۲. استفاده از دستگاه اولتراسونیک
۳. پاکسازی دستی نقاط عمیق
۴. پولیش نهایی دندان
۵. آموزش بهداشت دهان
تفاوت جرمگیری و بروساژ
| ویژگی | جرمگیری | بروساژ |
|---|---|---|
| حذف جرم سخت | ✔ | ✖ |
| حذف لکه سطحی | ✔ | ✔ |
| عمق پاکسازی | زیر لثه | سطح دندان |
مراقبتهای بعد از جرمگیری
- پرهیز از نوشیدنی رنگی تا ۲۴ ساعت
- استفاده از مسواک نرم
- نخ دندان روزانه
- مراجعه منظم دورهای
جرمگیری حرفهای در سعادتآباد
در کلینیک نیک سعادتآباد، جرمگیری با تجهیزات مدرن و کمترین میزان حساسیت انجام میشود تا تجربهای راحت و بدون درد داشته باشید.
برای تعیین زمان مناسب جرمگیری و مشاوره تخصصی، با ما تماس بگیرید 🌿

سوالات متداول درباره جرمگیری دندان
آیا جرمگیری درد دارد؟
معمولاً خیر؛ در صورت حساسیت، بیحسی موضعی انجام میشود.
آیا جرمگیری باعث فاصله بین دندانها میشود؟
خیر؛ این فضا در واقع قبلاً با جرم پر شده بوده است.
چند جلسه جرمگیری لازم است؟
بسته به شدت جرم، معمولاً یک جلسه کافی است.
آیا جرمگیری باعث سفید شدن دندان میشود؟
تا حدی بله، اما جایگزین بلیچینگ نیست.
لینکهای داخلی پیشنهادی
- ضربه خوردن به دندان شیری کودک و مراقبتهای لازم
- ارتودنسی چیست و چه زمانی نیاز به ارتودنسی داریم؟ | مطب نیک در سعادتآباد
- 🦷 بلیچینگ دندان چیست؟
- /ارتودنسی-سعادت-آباد
